
art of dent. oral design by Jenny Ulrich
Veneers bei Art of Dent oral design
Präzision trifft Innovation
Die perfekte Lösung für ein strahlendes Lächeln
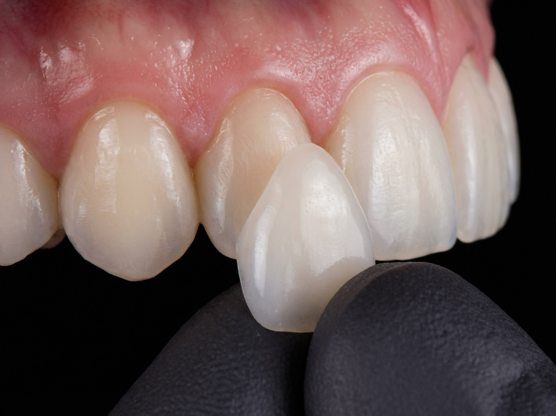
Veneers sind eine hervorragende Möglichkeit, das Aussehen Ihrer Zähne zu verbessern und Ihnen zu einem strahlenden Lächeln zu verhelfen. Diese dünnen, maßgefertigten Schalen aus hochwertigem Keramikmaterial werden auf die Vorderseite Ihrer Zähne aufgebracht und korrigieren dabei Unregelmäßigkeiten in Form, Farbe oder Ausrichtung.
Warum Veneers?
Veneers bieten eine schnelle und schonende Möglichkeit, ästhetische Mängel zu beheben. Sie sind eine ideale Lösung für Menschen, die ihr Lächeln verbessern möchten, ohne auf invasive Verfahren zurückgreifen zu müssen. Ob Verfärbungen durch Kaffee, Tee oder Nikotin, Abnutzungen durch jahrelangen Gebrauch oder kleine Zahnlücken – Veneers korrigieren Unregelmäßigkeiten auf sanfte Weise. Die dünnen, maßgeschneiderten Schalen werden direkt auf die Zahnoberflächen aufgebracht und sorgen für eine natürliche, harmonische Ästhetik. Durch die Verwendung hochwertiger Materialien bieten sie nicht nur eine ästhetische Verbesserung, sondern sind auch funktional und langlebig. Mit Veneers erzielen Sie nicht nur eine optische Aufwertung Ihres Lächelns, sondern auch eine langanhaltende Lösung für verschiedene zahnmedizinische Herausforderungen.
Unsere Leistungen für Veneers:

Individuelle Planung
Wir besprechen mit Ihnen Ihre Wünsche und entwerfen ein maßgeschneidertes Veneer-Konzept, das perfekt zu Ihrem Lächeln passt.

Hochwertige Materialien:
Wir verwenden nur erstklassige Keramik, die nicht nur ästhetisch überzeugt, sondern auch extrem langlebig ist.

Präzise Anfertigung:
Mit modernster Technologie garantieren wir eine exakte Passform und ein perfektes Ergebnis, das sich harmonisch in Ihr Lächeln einfügt.
Vorteile von Veneers auf einen Blick
1. Schönheit und Funktion: Veneers bieten eine perfekte Lösung für ästhetische Zahnprobleme und verbessern gleichzeitig die Funktionalität Ihres Gebisses. Sie verhelfen zu einem strahlenden Lächeln, das Sie selbstbewusst tragen können.
2. Minimalinvasiv: Die Behandlung ist besonders schonend und erfordert nur minimale Veränderungen an Ihren Zähnen, was sie zu einer idealen Wahl für Patienten macht, die ihre Zahnästhetik verbessern möchten, ohne auf invasive Maßnahmen angewiesen zu sein.
3. Langanhaltende Ergebnisse: Mit hochwertiger Keramik sorgen wir dafür, dass Ihre Veneers nicht nur gut aussehen, sondern auch dauerhaft ihre Form und Farbe behalten. So genießen Sie viele Jahre lang ein perfektes Lächeln.v
Unsere Leistungen für Veneers
- Individuelle Planung: Maßgeschneiderte Veneer-Konzepte für Ihr Lächeln und Ihre Zahngesundheit.
- Hochwertige Materialien: Langlebige Keramik für ästhetische Perfektion und robusten Schutz.
- Präzise Anfertigung: Modernste CAD/CAM-Technologie für perfekte Passform und Tragekomfort.
- Minimalinvasive Behandlung: Schonende Methode mit minimalen Eingriffen an den Zähnen.
- Langfristige Ergebnisse: Veneers, die sowohl funktional als auch ästhetisch langanhaltend überzeugen.
Kontaktieren Sie uns jetzt
Erleben Sie Zahntechnik auf höchstem Niveau – präzise, innovativ und individuell. Unser Team steht Ihnen jederzeit für Fragen und persönliche Beratung zur Verfügung.